Metallfreier Zahnersatz vom Dentallabor Kraus in Stuttgart
Moderner Zahnersatz in höchster Qualität
In den vergangenen Jahren ist die Forschung und Entwicklung im Bereich Zahnersatz rasant vorangeschritten. So finden wir heute in PEEK-Werkstoffen eine wertvolle Alternative zu herkömmlichem Zahnersatz aus verschiedenen Metallen. Erfahren Sie mehr über die Vorteile und überzeugen Sie sich bald persönlich!
Warum metallfreier Zahnersatz?
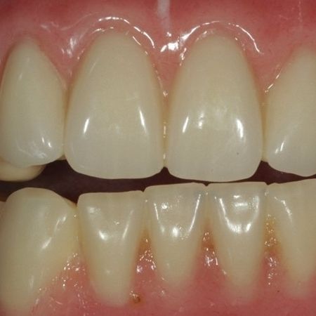
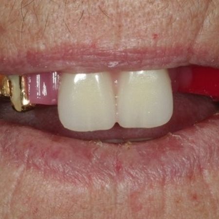
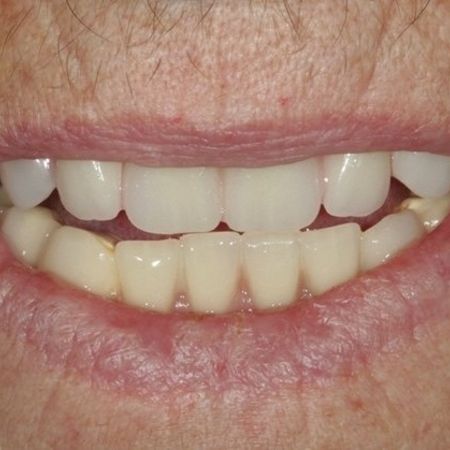
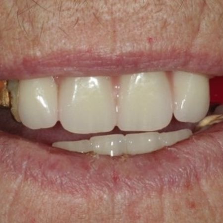
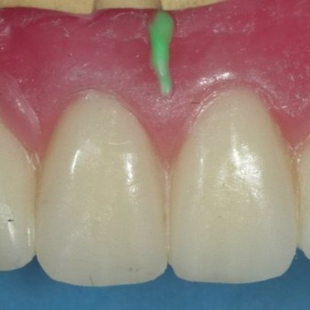
Gerade, wenn es sich um Teleskopkronen handelt, finden sich im Mund eines einzelnen Patienten häufig verschiedene Metalle. Als Resultat drohen Allergien, Unverträglichkeiten und Co. Die Lösung: ein Gerüst aus PEEK-Werkstoffen (Polyetheretherketon). Hiermit kann die Korrosionsproblematik umgangen werden und der Patient profitiert von einer metallfreien Lösung, die noch dazu Zahn ähnlich-weiß daherkommt. Nach dem in unserem Dentallabor praktizierten „Live-Konzept“ erfolgt die Zahnaufstellung hierbei „natürlich“. Das Ergebnis ist ein hochqualitativer und für den Laien nicht als solcher erkennbarer Zahnersatz.
Kombinationsprothetik mit PEEK-basiertem Gerüstmaterial
Unser Dentallabor konnte bereits vielfältige Erfahrungen mit PEEK-basiertem Gerüstmaterial in der Kombinationsprothetik sammeln. Zu den Vorteilen zählen unter anderem das chemisch inerte Verhalten und die Biokompatibilität dieses noch neuen Keramik verstärkten Hochleistungskunststoffes. Durch die zahnähnliche Grundfarbe passt sich der Zahnersatz perfekt in das Gebiss ein und wir können leicht Harmonie in Helligkeit und Farbe erreichen.
Für unser Dentallabor bewährt sich bei der Zahnaufstellung direkt am Patienten seit je her die enge Zusammenarbeit mit unseren Zahnärzten. Gerade wenn es um Zahnersatz für die Front geht, eignet sich das Live-Verfahren hervorragend. Es ist besonders effizient, da es Korrekturen oder Neuerstellungen einspart. Die Bindung zum Patienten wächst während der Arbeit und so wird auch er immer entspannter – ein Pluspunkt für das Ergebnis der Arbeit! Und am Ende entsteht ein metallfreier Zahnersatz, der dem Patienten ganz individuell auf den Leib geschneidert ist!
Jetzt Termin vereinbaren!
Haben Sie Fragen zum Thema Zahnersatz oder möchten Sie ein Beratungsgespräch vereinbaren? Dann freuen wir uns auf Ihren Anruf unter ✆ 0711 / 6401668.
